
Tratamiento de tendinopatías calcificantes en Barcelona
En Clínica Albareda, tratamos las tendinopatías calcificantes con un enfoque experto y personalizado. Usamos desde fisioterapia y ondas de choque hasta punciones ecoguiadas y cirugía mínimamente invasiva, siempre buscando la opción menos agresiva para aliviarte rápido y con seguridad. Aquí tu recuperación está en manos de profesionales que cuidan cada detalle.


¿Qué es una tendinopatía calcificante?
Es la enfermedad del tendón en la que el propio tendón cambia su tejido y se vuelve calcio, parcial o totalmente. Los cambios de un tejido por otro en medicina se denominan metaplasia. La tendinopatía cálcica no es más que una metaplasia donde un tendón se vuelve material cálcico, dejando de ser blando y elástico para ser duro y poco flexible.
.webp)
¿Cuándo sucede?
Suele suceder cuando el tendón se encuentra atrapado o el espacio en el que se encuentra está reducido y no puede moverse con libertad o soltura. En el caso del hombro, la situación es clara cuando existe un compromiso del espacio subacromial.
En situaciones de pinzamiento subacromial, es decir, cuando el espacio subacromial está anormalmente reducido, el tendón sufre dicha estrechez, rozando lesivamente con el acromion, que es el hueso que hace de techo en el hombro. El tendón comprimido puede reaccionar calcificándose. Esta reacción es un mecanismo de defensa del tendón inadecuado, pues no mejora la situación clínica, sino que la empeora.
¿Qué síntomas tiene una tendinopatía calcificante?
Los síntomas de la tendinopatía calcificante son dos principalmente: dolor en el hombro y disminución de la movilidad del mismo. El dolor puede ser de intensidad elevada, y puede llegar a despertar al paciente por la noche, dificultando tanto la conciliación del sueño como el descanso posterior nocturno.
La disminución del movimiento del hombro puede ser muy acusada, llegando a casos extremos en los que el paciente presenta una pseudoparálisis del hombro en la que el movimiento del hombro es nulo. Este es el caso del llamado síndrome del hombro congelado o frozen shoulder.
¿Cómo se diagnostica?
La sospecha diagnóstica es clínica. Pensamos en la tendinopatía calcificante en un paciente con síndrome o pinzamiento subacromial limitante con pérdida de movilidad en la articulación del hombro y dolor importante que empeora por la noche.
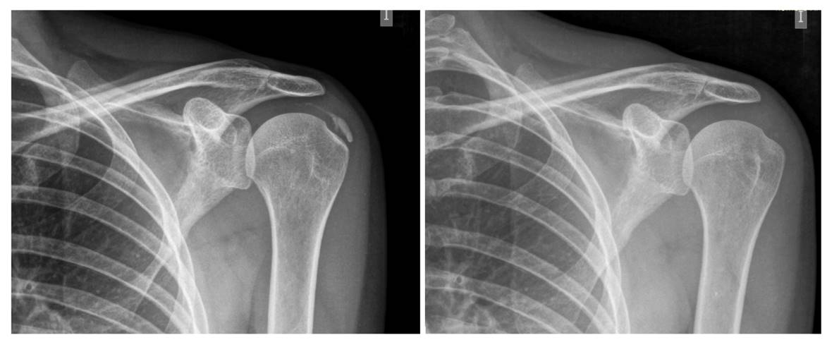
El diagnóstico de confirmación es por una simple radiografía. En la zona del espacio subacromial aparece una calcificación, de mayor o menor tamaño, que no debería aparecer y que forma parte del tendón del supraespinoso más comúnmente (del manguito de los rotadores en general).
El diagnóstico se corrobora por ecografía, prueba dinámica que permite determinar tamaño y forma, espesor y volumen de la calcificación. Nos permite detectar la ubicación exacta de la calcificación y también detectar microcalcificaciones de 1 mm poco valorables en radiografía convencional.
La resonancia magnética nuclear no es la mejor prueba de imagen para la identificación de calcificaciones en los tendones. A veces se llega a decir que la RNM es "ciega" para las tendinopatías cálcicas. Sin embargo, permite valorar y descartar otras patologías que pueden concurrir en un mismo hombro junto a la tendinopatía calcificante.

¿Cómo se trata la tendinopatía calcificante?
Desde Clínica Albareda recomendamos realizar un tratamiento escalonado en diferentes niveles, puesto que no hay un tratamiento único y siempre efectivo en todas las tendinopatías calcificantes del hombro. Los niveles van de menos a más en términos de agresividad terapéutica:
Nivel 1: Reposo funcional, antiinflamatorios y fisioterapia personalizada.
Nivel 2: Tratamiento con ondas de choque. Podemos decir que es el tratamiento no invasivo de elección. Con un resultado espectacular en las calcificaciones de pequeño y mediano tamaño, es el tratamiento que indicamos antes de pensar en los siguientes niveles de tratamiento.
Utiliza la misma tecnología que se usa para deshacer las piedras del riñón, pero en este caso para deshacer las calcificaciones en los tendones del hombro. Solemos hacer de 4 a 6 sesiones de ondas de choque. Son sesiones que ocupan poco tiempo al paciente, entre 5 y 10 minutos, y se suelen realizar semanalmente. Es un tratamiento efectivo, seguro e inocuo.
Nivel 3: Punción ecoguiada. Con el apoyo del ecógrafo podemos puncionar con una aguja intramuscular el seno de la calcificación y vaciarla de contenido. Esta técnica está indicada en calcificaciones de tamaño pequeño o medio. Es una técnica que en Clínica Albareda realizamos en la misma consulta.
Nivel 4: Desbridamiento quirúrgico artroscópico. Para pacientes con calcificaciones rebeldes a tratamientos previos o calcificaciones de mediano a gran tamaño, aconsejamos el tratamiento quirúrgico.
Mediante técnicas artroscópicas se procede a la extracción de la calcificación y se sutura o reancla el tendón si fuera necesario, ya que en casos de calcificaciones de tamaño importante, al eliminar la calcificación queda un defecto en el tendón que se debe reparar mediante sutura o reanclaje del mismo. Este tratamiento va a requerir de un tratamiento posterior de fisioterapia personalizada para recuperar el balance articular completo en todos sus rangos de movimiento, el control muscular del hombro y su fuerza.
En las tendinitis calcificantes del hombro se desaconsejan las infiltraciones con corticoides por ser nocivas para un tendón ya enfermo, así como también se desaconsejan las infiltraciones de PRP por el riesgo de estimular la aparición de más calcificaciones alrededor de la infiltración.
Contáctanos si tienes cualquier duda sobre la tendinitis calcificante del hombro. Te ofrecemos un buen diagnóstico y te ayudamos a encontrar soluciones.





Ya son unos 25 años que les visito, la confianza que transmite esta familia es tremenda, para mí, uno de los mejores traumatólogos que hay en BCN y mejor persona. Solo con visitarles, te marchas un poquito mejor, positividad, profesionalidad, saber hacer y personas de 10. Mucha suerte con el nuevo proyecto. Lo recomendaré siempre, como hasta ahora.

Profesionalidad y proximidad, servicio y centro de alto nivel en todos los sentidos.

La mejor clinica que he visitado hasta ahora sin duda. Rapidez, atención impecable por parte del Dr. y su equipo, radiografía al momento (ahorrando todo lo que supone ir a consulta, pedir volante, buscar lugar para hacerla etc.). Muy contenta de haber encontrado esta clínica.

Buena. Muy atentos y profesionales.


Todos los servicios de fisioterapia y rehabilitación

Fisioterapia deportiva

Fisioterapia con agujas

Fisioterapia para hernia discal

Fisioterapia con ultrasonidos

Fisioterapia individual

Fisioterapia para fascitis plantar

Fisioterapeuta deportivo para rehabilitación

Rehabilitación del pie
.webp)
Rehabilitación con magnetoterapia

Rehabilitación de espalda

Rehabilitación de cadera

Rehabilitación de hombro

Ondas de choque

Osteopatía

